В Днепре собака разорвала ребенку лицо: фото
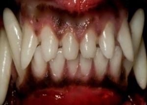
В Днепре 5-летнего мальчика за лицо покусала собака, животное жило в семье несколько лет и не проявляло агрессии к ребенку, передает FaceNews.ua. Мальчика экстренно госпитализировали в больницу и сшивали огромную рану от уха до рта.
Об этом сообщает "Днепр оперативный".
Собака разорвала щеку ребенку, мальчика успешно прооперировали в Центре матери и ребенка имени Руднева.
По предварительной информации, собака получила от ребенка слишком "много внимания" на карантине, что и привело к экстремальной ситуации.
Специалисты отмечают, что животные также устают от "карантина" и обильного внимания со стороны людей.

Читайте также: На свалке под Киевом обнаружили тело младенца


Викрадення свідків та тиск на викривачів: новий скандал навколо «справи Баканова»
Енергетична незалежність від сонця: у Кременчуці запустили серійне виробництво сонячних трекерів «ХАММЕР»
Авто на жінку, хата на тещу: ТОП-6 історій про те, як українські чиновники ховають статки
«Кінець війни до літа», вибори й референдум: у підсумках тижня «Є ПИТАННЯ» зібрали головні скандали навколо Банкової, мобілізації та спорту
«Російський слід» в Офісі генпрокурора: журналістка заявила про паспорти РФ, бізнес в «ЛНР» та податки до бюджету агресора
«Дельта» проти «Дзвону»: НАБУ передало до суду справу про корупцію в бойовій ІТ-системі ЗСУ
Рада зірвала голосування за євроінтеграційні закони
Зігріти тіло й «перезавантажити» голову: як кияни рятуються від холоду та втоми










