Детская и взрослая стоматология на Осокорках Люми-Дент
Здоровые зубы - это залог нормального функционирования всего организма. Ведь их плохое состояние влияет на пищеварительную систему, неправильный прикус может вызвать проблемы с дикцией, постоянная зубная боль не позволяет вести полноценный образ жизни, а запущенные стоматологические проблемы могут стать причиной возникновения кист и других опасных состояний.
Кроме того, состояние зубов прямо влияет на привлекательность человека. Они должны быть ровные, белые, здоровые, позволяющие одарить всех сверкающей улыбкой. И передовая стоматология имеет весь арсенал средств для достижения идеального состояния зубов. Это и современное безболезненное лечение, и имплантирование и протезирование, и отбеливание, и исправление прикуса. Отдельно выделяется детская стоматология, которая позволяет решить возможные стоматологические проблемы без лишнего стресса для малышей. Все это и многое другое предлагает Стоматология на Осокорках Люми-Дент.
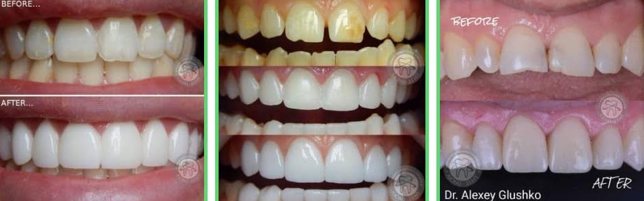
На сайте пациенты могут сразу ознакомиться с ценами, а также оценить фотографии пациентов до и после лечения зубов. Здесь также представлен полный перечень услуг.
Стоматологическая клиника Люми-Дент на Осокорках в Киеве: услуги
Клиника предлагает множество видов лечения зубов, рассчитанных на самые разные диагнозы и варианты. Среди них:
- Имплантация зубов
- Протезирование зубов
- Лечение зубов
- Выравнивание прикуса
- Отбеливание зубов
- Услуги хирурга-стоматолога
Имплантация зубов - одно из самых сложных стоматологических вмешательств. Его производят, если зуб потерян полностью вместе с корнем. Суть имплантации заключается в том, что в кость челюсти через десну вставляют титановую основу, которая заменяет корень. После заживления на нее устанавливают протез зуба. Такой способ позволяет вернуть зубы даже при их полном отсутствии. Однако предполагает серьезное вмешательство. А чтобы избежать осложнений, использованный материал и методики должны быть на высшем уровне. И стоматологическая клиника Люми-Дент на Осокорках в Киеве ручается за качество материалов и работы своих врачей.
Протезирование зубов - более традиционный способ, когда на установленный в корне зуба штифт надевают керамическую коронку. Или же предлагают съемные зубные протезы. Впрочем, современная стоматология на массиве Осокорки кроме этого предлагает ультратонкие виниры - керамические пластинки, которые накладываются на “живые” зубы, тем самым позволяет скрывать небольшие отколы, желтизну и прочие незначительные дефекты. Кроме того, предлагается шинирование зубов - закрепление ряда в случае шатания нескольких зубов. Это позволяет не потерять такие зубы.
Лечение зубов в клинике Люми-Дент представлено всем спектром услуг. К тому же, предусмотрено современное обезболивание и лечение зубов во сне.
Стоматология Люми-Дент на Осокорках в Киеве: услуги для детей
Стоматология на Осокорках предлагает для своих маленьких пациентов множество вариантов для лечения и профилактики. Например, герметизация фиссур позволяет защитить жевательные зубы от кариеса, закрывая неровности в зубах, где могут оставаться частицы пищи. Серебрение молочных зубов избавляет от кариеса самых маленьких. Фторирование зубов дает им возможность стать крепче. А если кариес таки появился, то избавиться от него специалисты Люми-Дент помогут “без сверления”.
Отдельное направление в клинике - помощь беременным женщинам, которые столкнулись с проблемами с зубами. Им предлагается лечение с безопасной анестезией, фторирование зубов для их сохранения при недостатке витаминов во время беременности и лактации, и так далее.
Стоматологические клиники Киева Люми-Дент готовы предоставлять современное лечение для всех пациентов и сделать его максимально эффективным и безболезненным.


Плівки Міндіча: як Банкова та СБУ намагалися врятувати «бек-офіс» від розслідувань НАБУ
Крах російської економіки в глибинці: чому офіційна статистика Росстату є фікцією
Анігіляція «Ахмату» на Сумщині: ГУР розкрило деталі унікальної спецоперації за участю агента-перебіжчика
Сбербанк б’є на сполох: росіяни масово забирають вклади, а нафтопереробка обвалилася до мінімуму
Замороження переговорів з Ліваном та нічні бої в Тегерані: головне з огляду Григорія Тамара
«Мазутний корок» та технологічний параліч: як удари по НПЗ руйнують економіку РФ
Політичний бек-офіс на Грушевського: оприлюднено «плівки Міндіча» про кадрові ігри та «Проєкт 23»
«На Росію ніхто не нападав»: російський пропагандист Боронець у прямому ефірі спростував брехню Путіна







