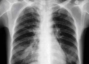
Медики назвали ранние признаки рака легких
При начальной стадии рака легких появляются ранние признаки данного заболевания. Учёные из Великобритании проанализировали «странности» на коже в виде появления «синюшных» или фиолетовых пятен, передает FaceNews.ua.
Исследователи заявляют, что имеется несколько явных внешних признаков опасного онкологического заболевания, поражающего в том числе органы дыхания. Следует обращать внимание на кожную сыпь, появляющуюся беспричинно. В данном случае необходимо пройти обследование у профильных врачей. «Странные» высыпания происходили в ряде случаев у пациентов, у которых впоследствии диагностировали рак лёгких. Далее следует опущение века. При названном недуге поражается часть органа, через который проходит основное количество нервов, в том числе отвечающих за состояние глаз и некоторых сегментов лица.
Читайте также: Медики назвали признаки нехватки витаминов в организме
Вслед за этим называют необъяснимую обильную потливость, которая может являться ещё одним внешним признаком возникшего рака лёгких. Как правило, заявляют специалисты, опухоль находится на той стороне, где лицо потеет меньше. Симптомом опасного заболевания являются также уменьшение зрачка и появление хрипоты, что может указывать на поражение голосовых связок.
Читайте также: Онколог рассказал, какое масло вызывает рак


Викрадення свідків та тиск на викривачів: новий скандал навколо «справи Баканова»
Енергетична незалежність від сонця: у Кременчуці запустили серійне виробництво сонячних трекерів «ХАММЕР»
Авто на жінку, хата на тещу: ТОП-6 історій про те, як українські чиновники ховають статки
«Кінець війни до літа», вибори й референдум: у підсумках тижня «Є ПИТАННЯ» зібрали головні скандали навколо Банкової, мобілізації та спорту
«Російський слід» в Офісі генпрокурора: журналістка заявила про паспорти РФ, бізнес в «ЛНР» та податки до бюджету агресора
«Дельта» проти «Дзвону»: НАБУ передало до суду справу про корупцію в бойовій ІТ-системі ЗСУ
Рада зірвала голосування за євроінтеграційні закони
Зігріти тіло й «перезавантажити» голову: як кияни рятуються від холоду та втоми








