Убивает очень коварно: врач шокировала снимками легких курильщика и больного COVID-19 (фото)
Легкие людей, которые переболели коронавирусной инфекцией, имеют больше рубцов и повреждений, чем легкие заядлых курильщиков, передает FaceNews.ua.
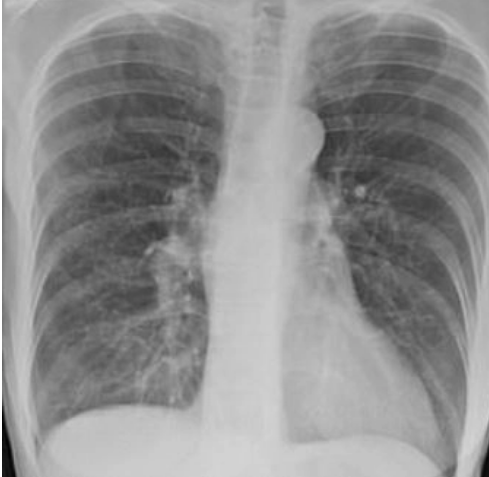
Как пишет Тhe Sun, впечатляющими снимками поделилась доктор Бриттани Бэнкхед-Кендалл, доцент Центра медицинских наук Техасского технологического университета, которая вылечила тысячи пациентов с коронавирусом.
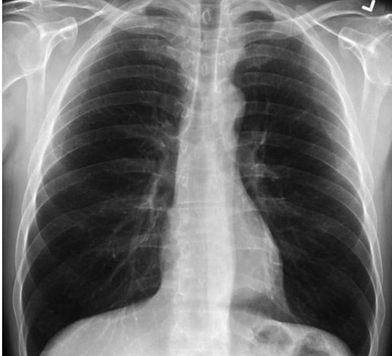
Одно изображение показывает нормальную здоровую пару легких, другое - легкие курильщика, а третье - легкие пациента с коронавирусом.
Легкие здорового человека


"Легкие после коронавируса выглядят хуже, чем любой тип легких ужасного курильщика, который мы когда-либо видели. Они разрушаются. И они слипаются. И одышка сохраняется", - сказала доктор.

Бриттани Бэнкхед-Кендалл подчеркнула, что разрушительное действие Covid-19 на легкие заметно даже у тех пациентов, кто перенес его в легкой форме.
Она добавила, что пока неизвестно, заживут ли когда-либо рубцы, вызванные коронавирусом, но каждый, кто испытывает стойкую одышку, должен поговорить об этом со своим врачом.
Читайте также: Утрата обоняния при коронавирусе почти гарантирует легкое течение болезни


Енергетична незалежність від сонця: у Кременчуці запустили серійне виробництво сонячних трекерів «ХАММЕР»
Авто на жінку, хата на тещу: ТОП-6 історій про те, як українські чиновники ховають статки
«Кінець війни до літа», вибори й референдум: у підсумках тижня «Є ПИТАННЯ» зібрали головні скандали навколо Банкової, мобілізації та спорту
«Російський слід» в Офісі генпрокурора: журналістка заявила про паспорти РФ, бізнес в «ЛНР» та податки до бюджету агресора
«Дельта» проти «Дзвону»: НАБУ передало до суду справу про корупцію в бойовій ІТ-системі ЗСУ
Рада зірвала голосування за євроінтеграційні закони
Зігріти тіло й «перезавантажити» голову: як кияни рятуються від холоду та втоми
Українських командирів навчають планувати бій за стандартами НАТО: стартував курс TLP Classic + «Кропива»








