Медики рассказали, как определить риск меланомы до первых симптомов
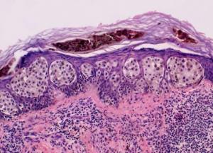
Самым смертельным раком кожи неизменно является меланома. Часто обнаруживается она на поздних стадиях, когда помочь пациенту тяжело. Однако ученые из Калифорнийского университета в Сан-Франциско обнаружили способ определения риска задолго до появления первых симптомов, передает FaceNews.ua.
Ученые предлагают сосредоточиться на обнаружении мутаций ДНК в отдельных клетках кожи. Геномные методы могут оценивать исходный риск меланомы для определения группы, которой стоит проходить скрининг у дерматолога. Результаты исследования были представлены в журнале Nature.
Ученые секвенировали ДНК меланоцитов в образцах кожи, по одной клетке за раз, подсчитывая мутации, особенно связанные с меланомой. Образцы были собраны от шести человек. Двое из них пережили меланому. Оставшиеся образцы собрали с трупов людей, которые с меланомой не сталкивались. В результате ученые обнаружили большее количество мутаций в меланоцитах людей, переживших раковое заболевание.
Читайте также: Медики рассказали, о каких болезнях предупреждает низкая температура


Плівки Міндіча: як Банкова та СБУ намагалися врятувати «бек-офіс» від розслідувань НАБУ
Крах російської економіки в глибинці: чому офіційна статистика Росстату є фікцією
Анігіляція «Ахмату» на Сумщині: ГУР розкрило деталі унікальної спецоперації за участю агента-перебіжчика
Сбербанк б’є на сполох: росіяни масово забирають вклади, а нафтопереробка обвалилася до мінімуму
Замороження переговорів з Ліваном та нічні бої в Тегерані: головне з огляду Григорія Тамара
«Мазутний корок» та технологічний параліч: як удари по НПЗ руйнують економіку РФ
Політичний бек-офіс на Грушевського: оприлюднено «плівки Міндіча» про кадрові ігри та «Проєкт 23»
«На Росію ніхто не нападав»: російський пропагандист Боронець у прямому ефірі спростував брехню Путіна






